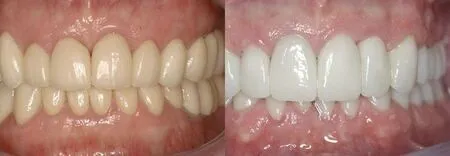
Če razmišljate o načinih, kako obnoviti zobe in izboljšati nasmeh, imate dve odlični možnosti - porcelanska prevleka ali cirkonijeva prevleka. Obe alternativi sta priljubljeni in z njima lahko dosežete odlične rezultate. Čeprav bosta obe rešitvi vidno izboljšali vaš nasmeh, obstaja nekaj ključnih razlik med njima, zato je pomembno izbrati pravo možnost za vašo konkretno situacijo. Preverite ključne lastnosti in razlike, ki bodo pojasnile vse potrebne informacije, preden se o možnostih zdravljenja pogovorite s svojim zobozdravnikom.

Ne moremo zanikati, da v zadnjih letih ni prišlo do številnih prebojev v svetu zobozdravstva, ki so številnim ljudem omogočili nasmeh svojih sanj, tudi če so na splošno genetsko nagnjeni h kariesu in slabemu ustnemu zdravju.
Ni skrivnost, da tiste, ki potrebujejo obisk pri zobozdravniku, spremljajo občutki negotovosti, kar lahko v mnogih primerih vpliva na vaše poklicno in osebno življenje. Pravzaprav so številne raziskave pokazale močno povezavo med slabim ustnim zdravjem in nizko samopodobo ter vodilni razlog za izogib pogovora z ostaliimi udeleženci.
Pred časom so porcelanske zobne prevleke postale zelo priljubljene, kar se nadaljuje še danes. Ena najboljših lastnosti porcelanske keramične prevleke je, da izgleda kot pravi zob. Je prosojna in odbija svetlobo, in je takšna kot vaši naravni zobje.
Porcelanske prevleke so različnih vrst, ki ljudem nudijo številne možnosti. Prevleka, ki je zelo močna, je porcelan, spojen s kovino. Njegova kovinska podlaga mu doda trdnost, včasih pa je to kovino mogoče videti kot temno črto tik nad dlesnmi, če se vam dlesni umaknejo.
Druge možnosti so v celoti keramične, vključujejo celotno porcelansko krono ali stisnjeno keramiko. Te možnosti zagotavljajo odlično naravno barvo, vendar je v celoti keramična različica bolj primerna le za sprednje zobe, saj ni tako močna. Stisnjena keramična zobna krona ima trdo jedro s keramiko na vrhu. Močnejša je od drugih dveh.
Z negativne strani so porcelanske prevleke, čeprav so močnejše od vaše naravne sklenine zob, tudi bolj krhke. To pomeni, da se lahko zlomijo lažje kot vaši naravni zobje in to lahko pusti ostre robove, ki lahko poškodujejo vaše sosednje zobe.
Druga vrsta rešitve je novejšega razvoja - cirkonijeva prevleka. Razvili so jo zato, ker je bilo treba ustvariti zobni material, ki je nekovinski. Medtem ko večina ljudi morda pozna kubični cirkonij, ki se uporablja za ustvarjanje imitacijskih diamantov, ki imajo ogromno iskrilo, se v zobozdravstvu danes pogosto uporablja druga oblika, cirkonijev oksid. Ta izdelek, ki ima v sebi nekaj kovinskih atomov, je naravno bel - podoben barvi vaših zob.

Čeprav so tradicionalne porcelanske prevleka odlična izbira za tiste, ki iščejo stroškovno učinkovito rešitev, vsebujejo številne pomanjkljivosti, ki vključujejo razbarvanje, možne alergijske reakcije in potrebo po dodatnem kovinskem okvirju, ki jih podpira. Po drugi strani cirkonijeva prevleka ponuja primerljive koristi, hkrati pa ima številne prednosti pred porcelansko prevleko. Te vključujejo:
- Cirkonij je biokompatibilen - to pomeni, da ga bo telo sprejelo.
- Trdna cirkonijeva prevleka je zelo močna in močnejša od večplastnih. So tudi veliko močnejši od porcelanske prevleke s kovinsko podlago. Zaradi tega je idealna zadnje zobe, kjer bo nanj veliko pritiska. Prav tako omogoča, da prevleka traja vse življenje. Trenutno je to najmočnejši material za zobne prevleke.
- Izdelane so z neporozno zasnovo, zaradi česar so občutno bolj odporne proti krušenju, razpokanju in obarvanju. Za razliko od porcelanskih prevlek, cirkonijeve prevleke ne poškodujejo sosednjih zob zaradi svoje gladke zunanjosti.
Cirkonijeva prevleka, ki je trdna ali večplastna, je izdelana z uporabo računalniško podrpte CAD/CAM tehnologije. Naredi se jo lahko tudi na kraju samem v ordinaciji zobozdravnika. Izdelana je iz enega samega bloka cirkonija, nato se jo zacementira, celotni postopek pa se lahko zaključi tudi v samo enem obisku.
Cirkonijeva prevleka ima bolj naraven videz, vendar ni tako močna. Je pa še vedno močnejša od porcelanske prevleke s kovinsko podlago. Zaradi boljše prosojnosti je idealna za sprednje zobe. Cirkonij lahko izdelamo tudi tako, da ustreza barvi vaših obstoječih zob. Če primerjamo porcelanske prevleke s cirkonijevimi prevlekami, imata obe značilnosti, zaradi katerih sta odlična izbira.
Če vam je bolj pomembno, da imate bolj naraven videz, si izberite porcelansko prevleko. V primeru, da si želite trdnosti in trajnosti in boljše biokompatibilnosti ter še vedno estetski izgled, potem izberite cirkonij.
Za več informacij in razlik med njima preverite tu.
Thank you! Your submission has been received!
Oops! Something went wrong while submitting the form