Primadent si logo — Primadent
Domov

Rentgen zob

Vse oblike slikanja zob v zobozdravstvu so namenjene natančnemu pregledu vaše ustne votline. S pomočjo slik dobimo podrobnejši pregled nad zdravjem zob in okoliških tkiv ter tako postavimo pravo diagnozo in se odločimo za primerno zdravljenje. 

S kvalitetnim slikanjem zob omogočimo, da pravočasno odpravimo zobno gnilobo, preprečimo nastanek granulomov in vnetij ter odkrijemo parodontalne bolezni, da lahko ukrepamo in ohranimo vaše naravne zobe. Poleg tega lahko s slikami natančneje načrtujemo prenove zob, kot so nameščanje zobnih lusk, kron, protez in implantatov. Na tak način bodo tudi umetni zobje videti kot naravni!

V te namene uporabljamo zobni rentgen, ortopan in CBCT slikanje zob. 

Zobni rentgen (RTG) lahko razdelimo na posamezne podtehnike:

Lokalni RTG posnetek zob oz. intraoralno slikanje zob: Slika zajame posamezen zob s korenino, koreninskimi kanali in pripadajoči predel kosti. Uporabljamo ga pri endodontskemu zdravljenju (zdravljenju koreninskih kanalov zob) in za natančnejše diagnosticiranje kariesa, ki je lahko skrit prostemu očesu pri fizičnem zobozdravniškem pregledu. 

RTG slikanje zobnih kron oz. bitewing: To je še ena tehnika lokalnega rentgenskega slikanja. Uporabljamo jo za prikaz zobnih kron. Bitewing (slikanje s krilci) rentgenske slike so posebej zasnovane za prikaz zgornjih in spodnjih zadnjih zob hkrati, ko sta čeljusti stisnjeni. Slika pokriva območje od konice korenine do krone zoba. Takšna RTG slika je primerna za odkrivanje interdentalnega kariesa. Bitewing zato uporabimo, ko že vnaprej sumimo na skriti karies.

Telerentgen glave oz. lateralni telerentgenogram: To je posebna vrsta rentgenske slike, ki prikazuje stranski/profilni pogled celotne glave, vključno s čeljustjo, zobmi in okoliškimi strukturami. Telerentgen glave največkrat uporabljamo za namene ortodontije. Analiza tega RTG posnetka nam omogoča, da ocenimo položaj in rast čeljusti v odnosu do ostalih delov glave. To je še posebej pomembno pri mlajših pacientih, kjer se lahko rastna napoved uporablja za načrtovanje ortodontskega zdravljenja.

želiM PREGLED

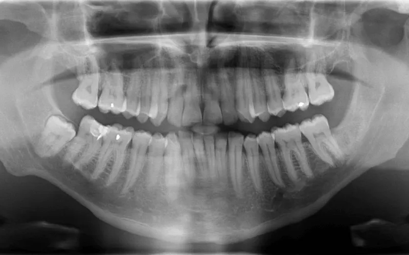
2D slikanje zob | Ortopan 

Ortopan slikanje je znano še pod imenoma ortopanthomogram ali panoramsko zobno slikanje, saj lahko z njim zajamemo sliko celotnega zobovja, obeh čeljusti, čeljustnih sklepov, maksilarnih sklepov in obzobnih tkiv. Slika je v 2D obliki, slikanje pa je neboleče in kratko, traja okoli 20 sekund. 

2D slikanje zob največkrat uporabljamo v preventivnem zobozdravstvu (kot standardni del pregleda pri novem pacientu za oceno splošnega zobnega zdravja ali pa za oceno rasti in razvoja zob pri otrokih in mladostnikih), pri ocenjevanju rasti modrostnih zob (za določitev njihovega položaja in potencialnih težav, ki bi jih lahko povzročili), pri travmatskih poškodbah (za oceno zlomov ali poškodb čeljusti), v parodontologiji (za oceno izgube kosti zaradi parodontalne bolezni) in ortodontiji (pri odkrivanju položaja in smeri rasti neizraslih ali delno izraslih zob ter načrtovanju ortodontskega zdravljenja). 

Več o Ortopanu

3D slikanje zob | CBCT 

CBCT (Cone Beam Computed Tomography) je sodobna metoda za slikanje kraniofacialnega področja (zobovja, čeljusti) v 3D obliki. Deluje na podoben način kot CT slikanje (računalniška tomografija) telesa

Ta vrsta računalniške tomografije nam nudi odlično prostorsko ločljivost za pregled struktur v vaši ustni votlini. CBCT slikanje ne boli in traja približno 16 sekund. Slike obdelamo v računalniškem programu, kjer lahko povečamo izbrane zobe ali dele ustne votline, merimo razdalje med zobmi in podobno. 

3D slikanje zob največkrat uporabljamo pri implantologiji (pri načrtovanju zobnih vsadkov in dvigu sinusnega dna), endodontiji (pri koreninskem zdravljenju zob), ortodontiji (pri odkrivanju položaja in smeri rasti neizraslih ali delno izraslih zob ter načrtovanju ortodontskega zdravljenja) ter kirurškemu zobozdravstvu (pri načrtovanju kirurških posegov, kot sta kompleksna odstranitev zob ali korektivna čeljustna kirurgija). 

Več o 3D slikanju

Zobni rentgen - lokacije

Primadentove ordinacije se nahajajo na treh lokacijah po Sloveniji. Spodaj si oglejte, na kateri lokaciji ponujamo katere vrste slikanja zob. Za več informacij ali naročanje nas lahko brez zadržkov pokličete na katerokoli lokacijo ali pa nam pišete na info@primadent.si.

Primadent Škofije

Naslov: KOPER, Spodnje Škofije 147, 6281 Škofije

Telefon: +386 51 371 681

Odpiralni čas:

PON - PET: 09:30 - 19:30

SOB: 09:30 - 14:00

Vrste slikanja: Intraoralni RTG, ortopan, CBCT 

Primadent Celje

Naslov: Aškerčeva ulica 14 (Celeia Park), 3000 Celje, Slovenia (V okviru klinike Medical Fabjan)

Telefon: +386 41 646 363

Odpiralni čas

PON: 10:00 - 17:00

TOR: 08:00 - 16:00

SRE: 10:00 - 15:00

ČET: 08:00 - 15:00

PET: 08:00 - 13:00

Vrste slikanja: vse vrste RTG, ortopan, CBCT 

Primadent Ljubljana 

Naslov: Ulica bratov Učakar 64, 1000 Ljubljana (V okviru zobozdravstva Lukanović)

Telefon: +386 41 646 363

Odpiralni čas:

PON in TOR: 13:00 - 19:00

SRE do PET: 07:00 - 13:00

Vrste slikanja: vse vrste RTG, ortopan 

Zakaj zobozdravnik potrebuje RTG sliko?

Rentgenske slike zob so ključno orodje v zobozdravstvu, saj nam omogoča, da vidimo pod površino ustne votline in zob. Včasih je zobna votlina na prvi pogled videti zdrava, a s fizičnim pregledom ne moremo priti do vseh področjih, kjer se lahko pojavljajo težave. Za zdravje je zato ključnega pomena, da občasno opravite tudi preventivno RTG slikanje. 

Tukaj je nekaj glavnih razlogov, zakaj so rentgenske slike zob tako pomembne v zobozdravstvu:

  • Odkrivanje kariesa: Rentgenske slike zob omogočajo odkrivanje kariesa, ki se razvija med zobmi ali pod obstoječimi plombami. Karies, ki se razvija na teh mestih, je težko opaziti s preprostim kliničnim pregledom.
  • Ocenjevanje zobnih korenin: Z rentgenskimi slikami lahko ocenjujemo zdravje zobnih korenin in kosti okoli njih. To je še posebej pomembno pri pregledu zob, ki so bili poškodovani ali pri katerih sumimo na infekcijo.
  • Pregledovanje razvoja zob: Rentgenske slike nam omogočajo, da ocenjujemo razvoj in postavitev zob, zlasti pri otrocih in mladostnikih. To nam pomaga pri načrtovanju ortodontskega zdravljenja
  • Diagnostika parodontalne bolezni: Z rentgenskimi slikami lahko opazimo znake izgube kosti, ki je posledica parodontalne bolezni.
  • Načrtovanje zobnih posegov: Pred kirurškimi posegi, kot so odstranitev zob, postavitev implantatov ali mostičkov, prav tako uporabljamo rentgenske slike za načrtovanje posega.
  • Odkrivanje patoloških sprememb: Rentgenske slike omogočajo odkrivanje cist, tumorjev in drugih patoloških sprememb v čeljusti ali mehkih tkivih.
  • Ocena obsega poškodb: Po nesrečah ali poškodbah lahko z rentgenskimi slikami ocenimo obseg škode na zobnih in sosednjih strukturah.
  • Odkrivanje morebitnih zapletov med ali po zdravljenju: Rentgenske slike lahko na primer pokažejo, ali je koreninski kanal po endodontskem zdravljenju popolnoma napolnjen ali pa je morda prisoten absces.

Pogosta vprašanja

Kakšne so čakalne dobe?

Čakalnih dob za slikanje zob v Primadentovih klinikah praktično ni. Paciente sprejmemo po predhodni najavi preko telefona, da se jim lahko primerno posvetimo. Za nujne primere (bolečina, absces, hudo vnetje) skušamo zagotoviti termin še isti dan.

Kakšno je sevanje pri slikanju zob?

Ob slikanju zob ste npr. pri rentgenu in ortopanu izpostavljeni majhni količini rentgenskih žarkov. Ti žarki so šibki in trajajo kratek čas, zaznamo jih kot le nekoliko povečano sevanje v primerjavi s sevanjem iz okolja. Sevanje je tudi veliko manjše, kot pri diagnostičnih posegih za celotno telo. Pri slikanju vseeno uporabljamo zaščitne predpasnike, s katerimi pokrijemo ostale izpostavljene dele telesa, ki jih ne bomo zajeli na sliki. V naših klinikah uporabljamo najsodobnejše aparature, zato je sevanje bistveno manjše.

Želim posvet

Prijava na posvet ali pregled

Zaupajte nam vaše podatke v spodnji obrazec. V najkrajšem možnem času vas pokličemo in rezerviramo termin posveta.

Thank you! Your submission has been received!

Oops! Something went wrong while submitting the form